WARNING SIGNS YOU NEED TARTAR REMOVAL SOON | Expert Consultation at Viet Bi Premium

CALL ME

WhatsApp Us – Quick Reply

Get Directions

z7566067403925_507b8c05e9135fb9ec2de8e7557e849c

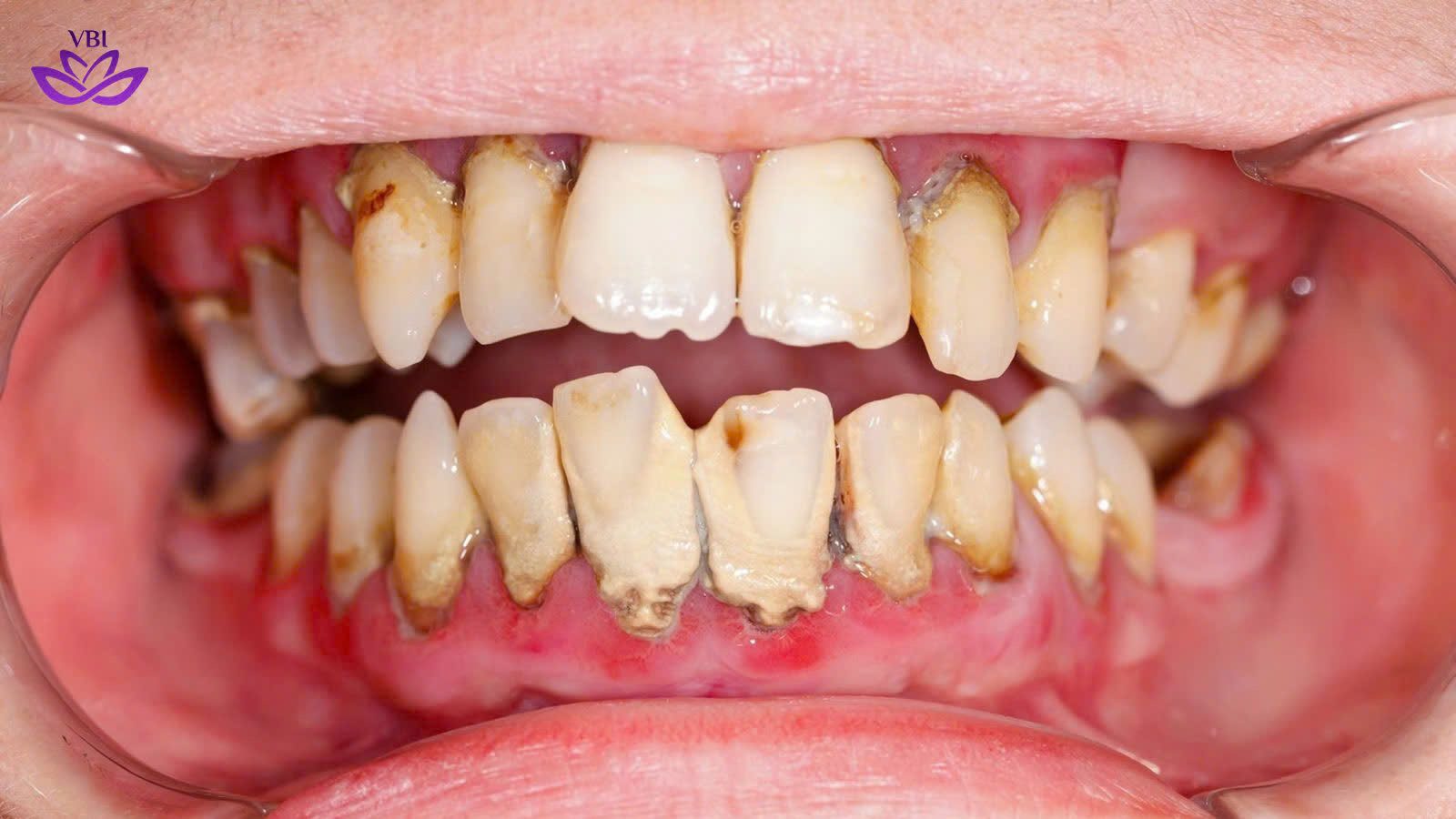
Tartar removal is a dental procedure that eliminates hardened plaque firmly attached to the tooth surface and beneath the gumline. Tartar forms from bacteria, food debris, and minerals in saliva that accumulate over time. If not removed, it becomes an ideal environment for bacterial growth, leading to gum inflammation, bad breath, and serious periodontal diseases. Therefore, tartar removal not only cleans the teeth but also plays an essential role in preventing oral diseases and protecting long-term health.

HOW DOES TARTAR FORM?
After eating, bacterial plaque develops on the tooth surface. If oral hygiene is inadequate, this plaque combines with minerals in saliva and hardens into tartar within just a few days. Tartar commonly accumulates on the inner surfaces of the lower front teeth and the outer surfaces of the upper molars, where salivary glands are most active.

z7566073711352_00b6fb1b0592e807040dfdf714c5bc95

WhatsApp Us – Quick Reply

HARMFUL EFFECTS OF TARTAR ON ORAL HEALTH
Tartar not only affects aesthetics but is also a major cause of serious oral health problems. Bacterial buildup within tartar can lead to gum inflammation, bleeding gums, and persistent bad breath. If left untreated, gingivitis may progress into periodontitis, causing alveolar bone loss, weakening teeth, and eventually tooth loss. In addition, oral bacteria may negatively affect overall health.

z7566067550101_4a304a52ec0cb9ea10486514a86e631d

WHEN IS TARTAR REMOVAL NECESSARY?
Dental experts recommend removing tartar every 3 to 6 months to control bacteria and prevent periodontal disease. Gums that bleed easily during brushing may signal gum inflammation caused by tartar buildup. Persistent bad breath despite proper oral hygiene may also originate from bacteria within tartar. If you notice yellow or brown deposits around the gumline, you should visit a dental clinic for early cleaning. Additionally, tartar removal before orthodontic treatment, dental crowns, or fillings helps ensure a bacteria-free oral environment and improves treatment outcomes.

z7566067498277_82eaf81e3546ec437606d46cc8e9fa6e

CALL ME

DOES TARTAR REMOVAL HURT?
Modern ultrasonic scaling technology makes tartar removal gentle, quick, and virtually painless. In cases of gum inflammation or long-standing tartar buildup, you may feel slight sensitivity; however, this sensation subsides quickly after treatment.

BENEFITS OF REGULAR TARTAR REMOVAL
Routine tartar removal helps eliminate plaque and harmful bacteria, prevent gingivitis and periodontitis, improve breath freshness, and maintain strong teeth for the long term. It also enables early detection of potential oral issues for timely treatment.

z7566067423607_60a0dfa0c2f5c4f6eb830762a565c0f2 z7566067442047_0ea0c2caa3213338f8234c33ce07439c

Regular tartar removal is a simple yet essential step in maintaining long-term oral health. If you have not had tartar removed for a while or are experiencing symptoms such as bleeding gums, bad breath, or hardened deposits near the gumline, schedule a dental visit promptly for consultation and care.

Viet Bi Premium Dental Clinic proudly provides safe and gentle oral care services with experienced dentists and modern equipment, helping you maintain a healthy, confident smile every day.

Hotline: 086 566 8066
Facebook: https://www.facebook.com/nhakhoavietbi

Clinic Locations:

  • Branch 1: 88B Nguyen Huu Huan, Hoan Kiem, Hanoi
  • Branch 2: 30 Tran Thai Tong, Cau Giay, Hanoi
  • Branch 3: 115 Xa Dan, Dong Da, Hanoi
  • Branch 4: 187 To Hieu, Ha Dong, Hanoi

CALL ME

WhatsApp Us – Quick Reply

Get Directions

Bài viết liên quan

27/01/2026 | Nguyễn Thành Trung | News for foreigners
Full-Mouth Porcelain Restoration in 2 Days

Complete Smile Makeover in Just 48 Hours Viet Bi Premium Dental Clinic – Hanoi, Vietnam...

26/01/2026 | Nguyễn Thành Trung | News for foreigners
FULL-ARCH DENTAL IMPLANT 7–10 DAYS TREATMENT PACKAGE

Viet Bi Premium Dental Clinic – Hanoi, Vietnam Restore Your Smile. Save Time. Save Up...

21/01/2026 | Nguyễn Thành Trung | News for foreigners
SAFE & EFFECTIVE ROOT CANAL TREATMENT AT VIET–BI DENTAL CLINIC

Proper techniques – Natural tooth preservation – Pain relief and minimized complications Root canal treatment...

09/01/2026 | Nguyễn Thành Trung | News for foreigners
VIET BI PREMIUM – ATRUSTED DESTINATION FOR INTERNATIONAL VISITORS IN THE OLD QUARTER

  Gentle • Fast • Same-Day Service 📍 Viet Bi Premium Dental Clinic – 88B Nguyen Huu...

07/01/2026 | Nguyễn Thành Trung | News for foreigners
Viet Bi Premium – A Trusted Stop for International Travelers

Gentle • Fast • Same-Day Service 📍 Viet Bi Premium Dental Clinic – 88B Nguyen Huu Huan,...

31/12/2025 | Nguyễn Thành Trung | News for foreigners
VIET BI PREMIUM – SERVICE QUALITY PROVEN BY HUNDREDS OF POSITIVE REVIEWS ON GOOGLE MAPS

Gentle • Fast • Same-Day Service 📍 Viet Bi Premium Dental Clinic – 88B Nguyen Huu Huan,...

Để lại một bình luận

Email của bạn sẽ không được hiển thị công khai. Các trường bắt buộc được đánh dấu *