Tartar removal is a basic dental service, yet it plays a vital role in protecting overall oral health. At Viet Bi Premium Dental Clinic, many patients come in with symptoms such as bleeding gums, bad breath, or progressively weaker teeth over time. The most common cause is long-term tartar buildup that has not been treated promptly. Understanding what tartar is and why it should be removed will help you take a more proactive, safe, and effective approach to oral care.
What is tartar? Why should tartar be removed?
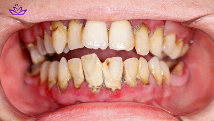
Tartar is dental plaque that has hardened due to mineralization from food debris and bacteria in the mouth. When daily oral hygiene does not completely remove plaque, it gradually hardens and firmly adheres to the tooth surface. Tartar commonly forms along the gum line, between teeth, and even beneath the gums. Once tartar has developed, it cannot be removed through regular tooth brushing alone.
Why is tartar removal necessary?
This is a common question among patients at Viet – Bi Premium Dental Clinic. Tartar provides an ideal environment for bacteria that cause gingivitis and periodontal disease. Without regular tartar removal, gums can become swollen, bleed easily, and gradually recede. Persistent bad breath is also a frequent consequence of tartar accumulation.
Professional tartar removal cleans the tooth surface, reduces bacterial growth, and helps maintain healthy gums. It is a crucial step in preventing premature tooth loss and more serious oral diseases.

Is tartar removal painful?
At Viet – Bi Premium Dental Clinic, tartar removal is performed using advanced ultrasonic technology. This method effectively removes tartar while minimizing trauma to the gum tissue.
The procedure is gentle and generally painless. Mild sensitivity may be felt if tartar buildup is heavy or if the gums are already inflamed. After the procedure, patients typically notice a significant improvement in cleanliness and overall comfort.
How much does tartar removal cost?
The cost of tartar removal is a concern for many patients. At Viet – Bi Premium Dental Clinic, pricing is transparent and affordable—500,000 VND per session. This fee includes a full tartar removal procedure using modern technology, ensuring safety and effectiveness. Patients are fully informed before treatment, with no additional costs incurred during the process.
Viet – Bi Dental Clinic – A Safe and High-Standard Tartar Removal Process
At Viet–Bi Premium Dental Clinic, patient safety is our top priority. Our dental procedures strictly follow rigorous safety protocols.
All instruments are cleaned and sterilized according to a standardized 8-step, one-way sterilization process in a dedicated sterilization center with four separate zones: contaminated, clean, sterilization, and storage areas.
Treatment rooms are thoroughly inspected and approved under Department of Health standards. Dental chairs and instruments are disinfected using Cavicide 1 and CaviWipes 1; water systems are treated with drinkable RO filtration; and saliva ejectors are removable for thorough cleaning.
Proper tartar removal does not weaken teeth. On the contrary, it helps protect oral health and prevent various dental diseases. To achieve optimal results, tartar scaling should be performed at reputable dental clinics and followed by proper oral hygiene care.
Contact Viet–Bi Premium Dental Clinic via hotline 086 566 8066 to schedule your tartar removal appointment today.
T2 - CN 8:00 - 19:00





